“Диастема (щель между передними зубами) — это распространенная особенность зубного ряда, с которой сталкиваются многие люди. Важно понимать, что диастема является не просто эстетическим нюансом. Часто она сигнализирует о неправильном положении зубов, аномалиях уздечки верхней губы или других нарушениях в зубочелюстной системе.”
Комментирует врач-стоматолог терапевт клиники «Винир», Шакирова Алия Ергалиевна
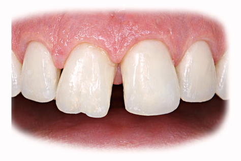
Что такое диастема
Диастема — это аномалия положения зубов, характеризующаяся наличием видимого промежутка между центральными резцами (чаще верхней челюсти). Ширина такой щели может варьироваться от нескольких миллиметров до сантиметра.
Данная особенность может быть как наследственной, так и приобретенной в результате вредных привычек или неправильного развития челюсти. Важно понимать, что промежуток между зубами — это не просто косметический недостаток, а особенность строения зубного ряда, которая в некоторых случаях может влиять на дикцию или здоровье пародонта. Своевременная консультация специалиста поможет определить оптимальный метод коррекции и вернуть уверенность в себе.
Почему появляется: основные причины диастемы
● Микродентия
Микродентия — состоянии, при котором коронки зубов имеют аномально маленькие размеры. Центральные резцы просто не в состоянии перекрыть имеющееся пространство, и между ними образуется щель.
● Аномалия развития уздечки верхней губы
Низкое прикрепление уздечки верхней губы или ее чрезмерная мощность создают механическое препятствие для смыкания центральных резцов. В норме уздечка должна крепиться примерно на полсантиметра выше десневого края, но при аномалиях она буквально вклинивается между зубами, не давая им сомкнуться.
● Проблемы в процессе смены зубов
Если молочные зубы выпадают раньше положенного срока или, наоборот, задерживаются, это может привести к неправильному развитию челюсти и образованию заметных щелей между постоянными зубами.
● Наследственность
Генетическая предрасположенность является одной из самых частых причин появления промежутка между передними зубами. Если у родителей была диастема, велика вероятность, что она проявится и у детей. Механизм передачи может быть связан с унаследованными особенностями строения челюсти, размерами зубов или положением зачатков зубов.
Алия Ергалиевна уточняет: «Родителям важно понимать, что неприятный запах изо рта у ребенка — это не просто временное явление, а возможный сигнал о нарушениях в работе организма. В отличие от взрослых, детский галитоз имеет свои особенности, и его причины могут быть связаны не только с состоянием полости рта, но и с лор-заболеваниями, особенностями питания и гигиены. Своевременное выявление причины позволяет не только устранить неприятный симптом, но и предотвратить развитие более серьезных проблем в будущем.»
● Вредные привычки в детстве
Длительное сосание пустышки, пальца или привычка постоянно толкать передние зубы языком создают постоянное давление на растущие резцы и также способствуют развитию диастемы.
Виды диастемы
В стоматологической практике принято классифицировать диастему по нескольким признакам, что помогает специалисту составить максимально эффективный план лечения.
Ложная и истинная диастема
Прежде всего, различают истинную и ложную диастему. Ложная диастема наблюдается у детей в период сменного прикуса, когда постоянные зубы еще не заняли свое окончательное положение, а молочные уже выпали. Временный промежуток в этом возрасте считается вариантом нормы и часто закрывается самостоятельно после прорезывания всех постоянных зубов. Истинная же диастема формируется уже после полного формирования постоянного прикуса и самостоятельно не исчезает, требуя врачебного вмешательства.
Симметричная и асимметричная диастема
По положению коронок зубов относительно друг друга диастема может быть симметричной, когда оба центральных резца отклонены в стороны от срединной линии под одинаковым углом, образуя равномерный промежуток. В этом случае зубы словно зеркально отражают положение друг друга, расходясь веерообразно. При асимметричной диастеме один резец сохраняет нормальное положение, а второй отклоняется в сторону, из-за чего щель имеет неправильную форму, расширяясь в ту или иную сторону.
|
|
| Симметричная диастема | Асимметричная диастема |
Как убрать диастему: современные методы лечения
Алия Ергалиевна отмечает: «Современная стоматология предлагает несколько разных подходов к устранению промежутка между передними зубами. Выбор метода зависит от причины возникновения диастемы, ее вида, состояния тканей пародонта и пожеланий самого пациента к срокам и эстетике лечения. В одних случаях проблему можно решить всего за один визит, в других требуется планомерная работа в течение нескольких месяцев или даже хирургическое вмешательство»
Композитная реставрация
Один из самых быстрых способов коррекции диастемы. Врач-стоматолог терапевт послойно наносит специальный материал на поверхность зубов, моделируя их форму и постепенно закрывая промежуток. Современные композиты позволяют добиться высокой эстетики, подобрать оттенок, максимально близкий к натуральной эмали, и создать естественную полупрозрачность режущего края.
Виниры
Тонкие керамические накладки, которые фиксируются на переднюю поверхность зубов и позволяют полностью преобразить улыбку. С их помощью можно не только закрыть промежуток между зубами, но и скорректировать их форму, длину и цвет.
Изготовление и установка виниров проходят в несколько этапов:
● Подготовка зубов: незначительная обработка эмали для создания места под накладки
● Снятие слепков и передача их в зуботехническую лабораторию
● Установка временных конструкций
● Примерка и фиксация постоянных конструкций
Готовые виниры выглядят естественно и сохраняют свои свойства на протяжении многих лет.
Брекет-системы
Классический ортодонтический метод лечения диастемы, который позволяет не просто замаскировать промежуток, а полностью исправить положение зубов. Брекеты фиксируются на каждый зуб, а соединяющая их дуга оказывает постоянное давление, постепенно перемещая зубы в правильное положение. Этот метод незаменим при сложных случаях: когда промежуток между резцами сочетается с нарушением прикуса.
Элайнеры
Прозрачные каппы, изготовленные по индивидуальным 3D-моделям челюстей пациента. Каждые несколько недель пациент меняет элайнеры на следующие из серии, и зубы постепенно смещаются в заданном направлении. Каппы можно снимать на время еды и чистки зубов, что значительно упрощает гигиену и не накладывает строгих ограничений на рацион. Элайнеры особенно эффективны при незначительном смещении зубов и закрытии небольших промежутков.
Хирургическое вмешательство
При лечении диастемы применяется не как самостоятельный метод, а как необходимый подготовительный этап перед ортодонтическим или реставрационным лечением. Основная хирургическая манипуляция — подрезание уздечки верхней губы (френулопластика), которая проводится при аномально низком или мощном прикреплении уздечки, вклинивающейся между центральными резцами.
Современная стоматология предлагает целый спектр решений для устранения диастемы. Каждый метод имеет свои показания, преимущества и особенности, поэтому выбор оптимального способа коррекции всегда начинается с профессиональной диагностики у специалиста.
